01. August 2024 von Dr. Philipp Kaiser, MMSc LLM
In unserer Ordination sind wir stolz darauf, unseren Patienten neue und fortschrittliche Behandlungsmethoden anbieten zu können. Eine dieser modernen Lösungen ist die Verwendung von zahnfarbenen Kunststofffüllungen. Diese Füllungen bieten nicht nur eine perfekte ästhetische Anpassung an Ihre natürlichen Zähne, sondern auch eine langlebige und sichere Möglichkeit, Karies oder andere Zahnschäden zu behandeln.
Warum zahnfarbene Kunststofffüllungen?
Zahnfarbene Kunststofffüllungen, auch als Kompositfüllungen bekannt, haben sich in den letzten Jahren als beliebte Alternative zu traditionellen Füllmaterialien wie Amalgam etabliert. Sie bestehen aus einem hochwertigen Kunststoff, um eine optimale Festigkeit und Haltbarkeit zu gewährleisten. Durch ihre natürliche Zahnfarbe sind sie nahezu unsichtbar und bieten so eine ästhetisch ansprechende Lösung für Zahnreparaturen.

Vorteile für unsere Patienten
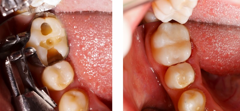
Unser Behandlungsablauf
Der Ablauf in unserer Ordination ist darauf ausgerichtet, Ihnen eine komfortable und effiziente Behandlung zu bieten.
Nach einer gründlichen Untersuchung und Reinigung des betroffenen Zahns bringen wir das Kompositmaterial schichtweise auf und härten es mit einer speziellen UV-Lampe aus. Abschließend polieren wir die Füllung, um sicherzustellen, dass sie perfekt sitzt und nihct zu hoch ist.
Vereinbaren Sie einen Termin
Wenn Sie an einer ästhetisch ansprechenden und langlebigen Lösung für Ihre Zähne interessiert sind, vereinbaren sie gerne einen Termin in unserer Ordination. Unser Team steht Ihnen zur Verfügung, um alle Ihre Fragen zu beantworten und Sie umfassend zu beraten.
Gemeinsam sorgen wir dafür, dass Sie Ihr schönstes Lächeln zeigen können – mit zahnfarbenen Kunststofffüllungen, die hohen Ansprüchen an Ästhetik und Funktionalität gerecht werden.
