13. August 2024 von Dr. Philipp Kaiser, MMSc LLM
Ein strahlendes Lächeln ist für viele Menschen ein Symbol von Schönheit und Selbstbewusstsein. Doch nicht jeder hat von Natur aus perfekt geformte oder makellos weiße Zähne. Genau hier kommen Keramik-Veneers ins Spiel.
Diese ultradünnen Schalen aus hochwertiger Keramik bieten eine minimal-invasive und zugleich hocheffektive Lösung, um das Aussehen Ihrer Zähne zu perfektionieren – und das auf eine Weise, die natürlich und ästhetisch wirkt.
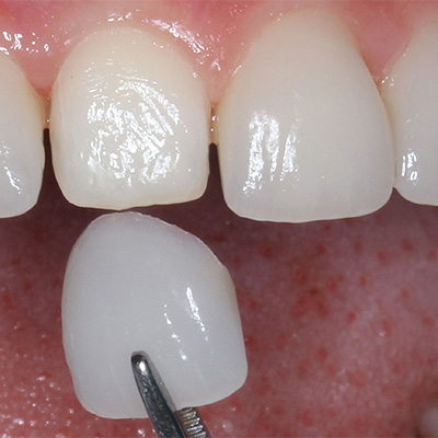
Was sind Keramik-Veneers?
Keramik-Veneers sind hauchdünne Verblendungen aus hochwertiger Keramik, die individuell angefertigt und auf die Vorderseite der Zähne aufgebracht werden. Sie dienen dazu, ästhetische Unregelmäßigkeiten wie Zahnlücken, Verfärbungen oder kleinere Beschädigungen zu korrigieren. Dank ihrer lichtdurchlässigen Beschaffenheit imitieren sie das Aussehen natürlicher Zähne nahezu perfekt.
Vorteile von Keramik-Veneers
- Natürliches Aussehen: Die lichtdurchlässige Keramik sorgt für ein Ergebnis, das kaum von echten Zähnen zu unterscheiden ist.
- Schonendes Verfahren: Veneers erfordern nur minimale Präparation der Zahnoberfläche, wodurch die natürliche Zahnsubstanz weitgehend erhalten bleibt.
- Langfristige Lösung: Keramik-Veneers sind robust und können bei guter Pflege viele Jahre halten.
- Vielfältige Einsatzmöglichkeiten: Sie eignen sich zur Korrektur von Verfärbungen, kleineren Fehlstellungen, Abplatzungen oder Zahnlücken.
- Verbessertes Selbstbewusstsein: Mit einem makellosen Lächeln können Sie selbstbewusster auftreten – beruflich wie privat.
Der Weg zu Ihrem perfekten Lächeln
- Beratungsgespräch: Im ersten Schritt besprechen Sie mit Ihrem Zahnarzt Ihre Wünsche und Erwartungen. Anhand Ihrer Zahnstruktur und Ihres Lächelns wird ein individueller Behandlungsplan erstellt.
- Vorbereitung der Zähne: Die Zähne werden sanft vorbereitet, indem eine minimal dünne Schicht des Zahnschmelzes abgetragen wird, um Platz für die Veneers zu schaffen. In manchen Fällen ist keine oder nur eine sehr geringe Präparation erforderlich (sogenannte Non-Prep-Veneers).
- Abdrucknahme und Anfertigung: Ein Abdruck Ihrer Zähne wird genommen, der als Vorlage für die Herstellung Ihrer individuellen Keramik-Veneers dient. In der Zwischenzeit erhalten Sie provisorische Veneers.
- Einsetzen der Veneers: Nach wenigen Wochen sind die Keramik-Veneers fertig und werden mit einem speziellen Klebstoff dauerhaft auf Ihre Zähne befestigt. Das Ergebnis ist sofort sichtbar und beeindruckend natürlich.
Pflege und Haltbarkeit
Keramik-Veneers sind nicht nur ästhetisch ansprechend, sondern auch pflegeleicht. Mit einer guten Mundhygiene – also regelmäßigem Zähneputzen, der Nutzung von Zahnseide und den empfohlenen Kontrollterminen beim Zahnarzt – können Sie die Haltbarkeit Ihrer Veneers optimieren. Vermeiden Sie jedoch starkes Kauen auf harten Gegenständen, um die Keramik zu schützen.
Kosten und Finanzierung
Es ist wichtig zu wissen, dass Veneers in der Regel nicht von der gesetzlichen Krankenkasse übernommen werden, da es sich um eine ästhetische Behandlung handelt. Die Kosten können je nach Aufwand und Anzahl der zu behandelnden Zähne variieren. Dennoch ist die Investition für viele Menschen lohnenswert, da sie langfristig zu einem gesteigerten Selbstbewusstsein und Wohlbefinden beiträgt.
Fazit
Keramik-Veneers sind eine innovative und sanfte Methode, um Ihr Lächeln auf ein neues Niveau zu heben. Vereinbaren Sie noch heute einen Termin und starten Sie Ihre Reise zu einem strahlenden Lächeln!
