16. Juli 2024 von Dr. Philipp Kaiser, MMSc LLM
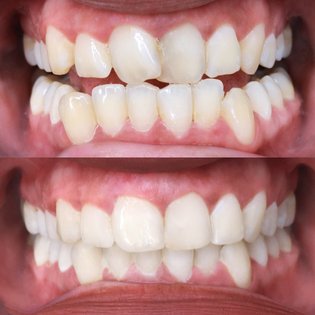
Viele Patienten wünschen sich eine Zahnregulierung, die ausgeprägte Fehlstellungen korrigiert und trotzdem kaum sichtbar ist.
Nahezu alle Fehlstellungen können mit der unsichtbaren Zahnspange therapiert werden.
Im Erstgespräch und bei der Befundaufnahme kann die individuelle Situation gut eingeschätzt werden und mittlerweile ist es uns möglich, 95% aller Zahnfehlstellungen erfolgreich mit der Methode der unsichbtbaren Zahnspange zu behandeln. Das gilt gleichermaßen für die Bahndlung von Erwachsenen wie auch von Jugendlichen.
Wie funktionieren unsichtbare Zahnspangen?
Unsichtbare Zahnspangen bestehen aus einer Serie durchsichtiger, maßgefertigter Kunststoffschienen, die Ihre Zähne Schritt für Schritt in die gewünschte Position bewegen. Diese Aligner werden etwa jede Woche gewechselt, wodurch die Zähne ein wenig weiter bewegt werden, bis die gewünschte Ausrichtung erreicht ist.
Vorteile unsichtbarer Zahnspangen:
- Unauffälligkeit: Da die Aligner durchsichtig sind, sind sie im Mund kaum zu sehen.
- Komfort: Die glatten Kunststoffschienen sind angenehm zu tragen und verursachen weniger Reizungen als herkömmliche Metallspangen.
- Herausnehmbar: Die Aligner können zum Essen, Trinken, Zähneputzen und für besondere Anlässe herausgenommen werden, was die Mundhygiene erleichtert.
- Individuelle Anpassung: Die Aligner werden speziell für Ihre Zähne maßgefertigt, was eine präzise und effiziente Behandlung ermöglicht.
Das Ergebnis im Voraus sehen
Dank unserer ClinCheck© Technologie können Sie bereits vor Beginn der Therapie das Ergebnis Ihrer Behandlung und den gesamten Verlauf sehen. Diese Technologie erstellt eine digitale 3D-Darstellung der Zahnbewegungen während der gesamten Behandlungsdauer, was sowohl für den Patienten als auch für den Kieferorthopäden eine klare Vorstellung des Prozesses und des Endergebnisses ermöglicht.

Fazit:
Unsichtbare Zahnspangen bieten eine ästhetisch ansprechende und komfortable Lösung zur Zahnkorrektur. Mit den richtigen Voraussetzungen und unter professioneller Anleitung können sie eine effektive Alternative zu herkömmlichen Zahnspangen sein.
