23. Juli 2024 von Dr. Philipp Kaiser, MMSc LLM
Zahnersatz in nur einer Sitzung
Zahnersatz anfertigen und einsetzen – und das an nur einem einzigen Tag?
Genau das bietet unsere Praxis in Draßburg. Unsere Praxis setzt auf modernste Technik, um Ihnen die beste Behandlung zu bieten.
Die Zeiten, in denen man für Zahnabdrücke auf unangenehme Knetmasse angewiesen war, sind vorbei - zumindest für Zahnarztpraxen, die 3D-Scanner verwenden. Die digitale Zahnmedizin hat sich stark weiterentwickelt.

Dank des Zusammenspiels verschiedener moderner Technologien, wie unserem internen Dentallabor und dem Intraoralscanner, können wir die Herstellungszeit von Zahnersatz wie Brücken, Kronen, Onlays, Inlays, Aligner und anderen Prothesen erheblich verkürzen. Auch bei der Implantatsetzung erzielen wir schnellere und präzisere Ergebnisse.
Wie läuft der Prozess ab ?
Hier sind die grundlegenden Schritte :
Scan des Mundraums
Während der Intraoralscanner an Ihren Zähnen entlanggeführt wird, entsteht innerhalb von Sekunden ein präzises 3D- Modell Ihrer Zähne. Das die Grundlage für maßgeschneiderte Prothesen, Inlays und Implantate bildet und sie können den Scan in Echtzeit auf dem Bildschirm verfolgen. Die Prozedur erfordert keine Vorbereitung und ist bereits nach einer Minute abgeschlossen. Der Scanner liefert ein perfektes Abbild Ihrer Zähne. Dieses 3D-Modell wird dann sofort an unser internes Dentallabor gesendet.

Verarbeitung im Dentallabor
Im Labor nebenan steht unser Zahntechnikerin bereit. Je nach Auftrag fertigt sie eine neue Prothese, eine Zahnkrone oder ein Reparaturstück an. Maße und Farbe lassen sich perfekt aus dem Scan-Modell ablesen.
Dadurch steht unsere Zahntechnikerin weiterhin in engem Kontakt mit dem Zahnarzt und den Patienten. Durch die schnelle Fertigung sitzen sie nur wenige Minuten in unserer Praxis. Nach kurzer Zeit ist der Ersatz-Zahn fertig und kann sofort eingesetzt werden.

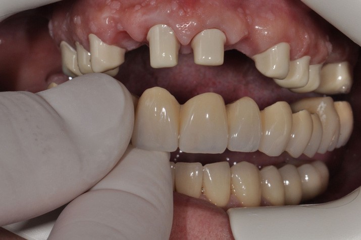
Zahnersatz anpassen
Bei der Einsetz-Sitzung wird der Zahnersatz auf die vorbereiteten Zähne oder Implantate gesetzt und fixiert. Der Zahnarzt überprüft die Passgenauigkeit und nimmt gegebenenfalls letzte Anpassungen vor, um sicherzustellen, dass der Zahnersatz korrekt sitzt und gut funktioniert.

Nachsorge und Pflege des Zahnersatzes:
Nach dem Einsetzen des Zahnersatzes werden dem Patienten Pflegehinweise und Empfehlungen zur Mundhygiene gegeben. Regelmäßige Kontrolltermine werden vereinbart, um die langfristige Funktion und den Sitz des Zahnersatzes zu überwachen.
Dieser Prozess gewährleistet, dass der Zahnersatz optimal auf die individuellen Bedürfnisse des Patienten abgestimmt ist und eine hohe Lebensdauer sowie Komfort bietet.
