Inhalt
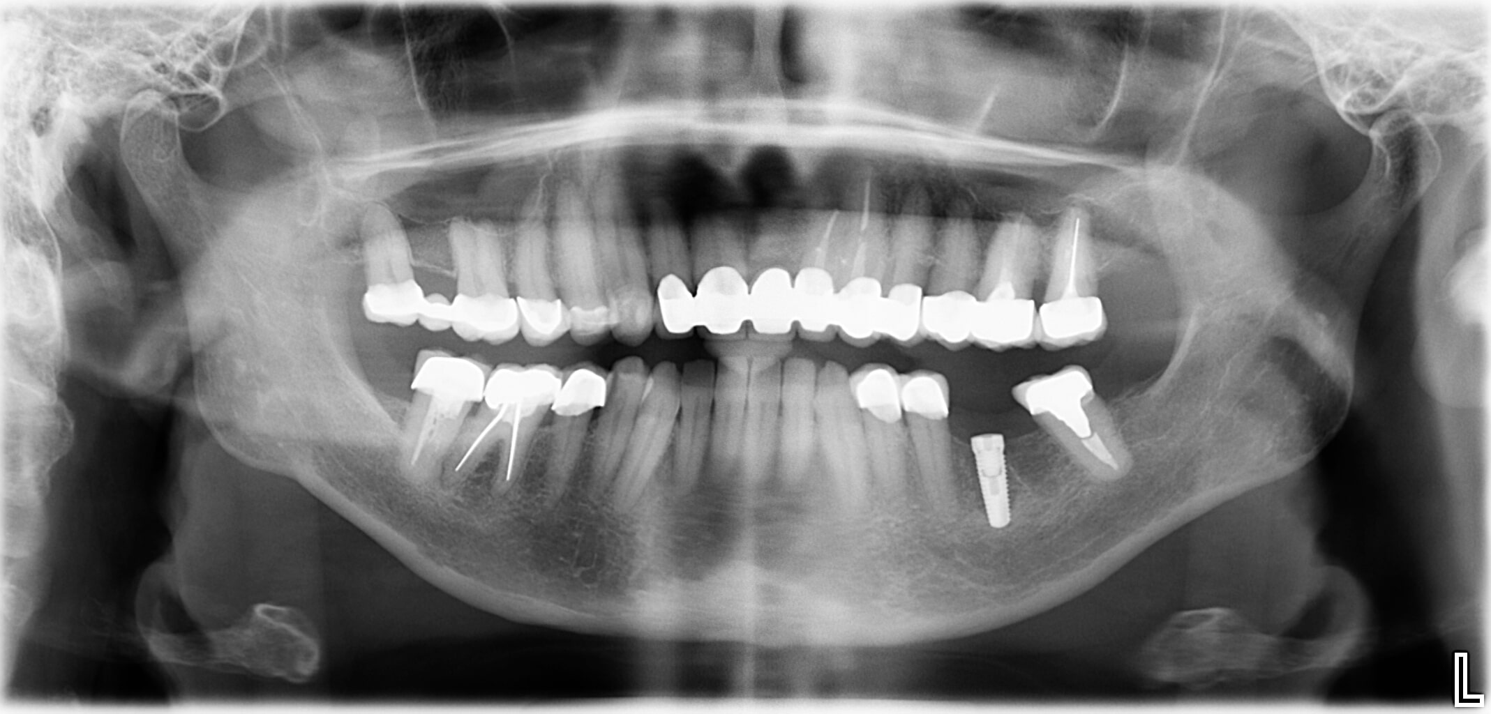
Freiendlücken
Schematische Darstellung
Wenn am Ende der Zahnreihe Zähne fehlen, muss eine herausnehmbare Prothese hergestellt werden. Für eine festsitzende Prothese wäre ein hinterer „Pfeiler“ zur Befestigung nötig. Durch den Einsatz von Implantaten kann man auf den herausnehmbaren Zahnersatz verzichten. Das bringt Vorteile beim Kauen und hilft bei der Vorbeugung funktioneller Gelenkerkrankungen.
Das Problem
- Am Ende der Zahnreihe fehlen ein oder mehrere Zähne
- Natürliche Zähne begrenzen den zahnlosen Abschnitt nur auf einer Seite
- Ein zahngetragener Zahnersatz (Brücke) ist nicht möglich
- Versorgung in der klassischen Zahnersatzkunde: Teilprothese abnehmbar
Die Lösung
- Eine rein implantatgetragene Verbundbrücke oder Einzelzahnimplantate vermeiden Brücken und abnehmbare Teilprothesen.
- Implantate als zusätzliche Pfeiler: Brücke auf natürlichen Zähnen und Implantaten
Das Resultat überzeugt
- Vermeidung herausnehmbarenm Zahnersatzes
- Kein Fremdkörpergefühl
- Störende Halteklammern entfallen
- Kein Beschleifen der gesunden Nachbarzähne
- Keine Beeinträchtigung beim Kauen und Sprechen
Sie haben weitere Fragen?
Ihre Frage wurde noch nicht beantwortet? Wir helfen Ihnen gerne persönlich weiter! Rufen Sie uns einfach an oder mit Ihrer Frage.
Warum Zahnimplantate bei Dr. Kaiser & Kollegen die richtige Entscheidung ist?
Langjährige Erfahrung
Wir verfügen über 30 Jahre Know-how und konnten so bereits einer Vielzahl an Menschen zu einem strahlenden Lächeln verhelfen!
Moderne Qualität
Wie bei all unseren Behandlungen setzen wir auch bei der Therapie mit implantatgetragenem Zahnersatz auf hohe Qualität auf modernem Stand.
Für alle Erwachsenen
Wir erzielen bei „jungen“ Erwachsenen bis hin zu Pensionisten schöne Ergebnisse mittels Zahnimplantaten.
Alle Lücken
Egal, ob Sie nur einen Zahn ersetzt bekommen wollen oder komplett unbezahnt sind – wir erzielen Ihr Wunsch-Ergebnis.
Schnelle Ergebnisse
Da wir über weitreichendes Know-how auf diesem Gebiet verfügen, dauert eine Implantatversorgung bei uns im Durchschnitt nur wenige Wochen.
3D-Ausblick
Mit unserer 3D-Röntgen-Technik sehen Sie Ihr Ergebnis schon vorab! So wissen Sie immer, worauf Sie hinarbeiten.
Profis am Werk
In der Zahnarztpraxis Dr. Kaiser im Burgenland werden Sie ausschließlich von erfahrenen Zahnärzten betreut.
Transparente Kosten
Bei uns gibt es keine versteckten Kosten! Je nach Behandlungsbedarf erfahren Sie Ihren Pauschalpreis.
Einfache Finanzierung
Zur Finanzierung Ihrer Zahnimplantate bieten wir Ihnen eine leistbare Ratenzahlung.
Zufriedenheitsgarantie
Wir sind erst zufrieden, wenn Sie es auch sind! Daher behandeln wir Sie ohne zusätzliche Kosten so lange weiter, bis Sie Ihr Wunsch-Ergebnis erreicht haben!
Unser Praxis-Blog
-
Warum natürliche Zahnfarben 2026 im Trend liegen
Natürliche Zahnfarben stehen 2026 für Authentizität: individuell abgestimmt, gesund wirkend und harmonisch statt extrem weiß – ein modernes Lächeln mit Persönlichkeit. -
Implantate bei wenig Knochen – welche Möglichkeiten gibt es heute?
Wenig Knochen ist heute kein Ausschluss mehr für Implantate. Dank Knochenaufbau, Sinuslift, spezieller Implantate und digitaler Planung gibt es sichere Lösungen. -
Zahnfleischbluten – Ursachen, Bedeutung und was Sie tun können
Zahnfleischbluten ist kein harmloses Problem, sondern ein wichtiges Warnzeichen. In unserer Praxis unterstützen wir Sie dabei, die Ursache frühzeitig zu erkennen und Ihr Zahnfleisch langfristig gesund zu erhalten. -
Zahnzusatzversicherung in Österreich – gut informiert entscheiden
Eine Zahnzusatzversicherung kann helfen, hohe Eigenkosten für Zahnersatz, Implantate und Prophylaxe zu reduzieren. Frühzeitige Information schafft finanzielle Sicherheit. -
Unsere Praxis wurde mit dem HIPE AWARD Prüfsiegel 2025 ausgezeichnet
Unsere Praxis wurde mit dem HIPE AWARD 2025 ausgezeichnet – ein Siegel für hohe Qualität, Service und Kompetenz. Ein starkes Team und Ihr Vertrauen machen diese Ehrung möglich. -
Patientenrezensionen – warum Ihre Meinung für uns so wertvoll ist
Patientenrezensionen schaffen Vertrauen, geben Orientierung und helfen uns, besser zu werden. Mit Ihrer Meinung unterstützen Sie andere und gestalten die Qualität unserer Praxis aktiv mit.
Unser Praxis-Blog
-
Warum natürliche Zahnfarben 2026 im Trend liegen
Natürliche Zahnfarben stehen 2026 für Authentizität: individuell abgestimmt, gesund wirkend und harmonisch statt extrem weiß – ein modernes Lächeln mit Persönlichkeit. -
Implantate bei wenig Knochen – welche Möglichkeiten gibt es heute?
Wenig Knochen ist heute kein Ausschluss mehr für Implantate. Dank Knochenaufbau, Sinuslift, spezieller Implantate und digitaler Planung gibt es sichere Lösungen. -
Zahnfleischbluten – Ursachen, Bedeutung und was Sie tun können
Zahnfleischbluten ist kein harmloses Problem, sondern ein wichtiges Warnzeichen. In unserer Praxis unterstützen wir Sie dabei, die Ursache frühzeitig zu erkennen und Ihr Zahnfleisch langfristig gesund zu erhalten.
