Warum Zahnimplantate bei Dr. Kaiser & Kollegen die richtige Entscheidung ist?
Langjährige Erfahrung
Wir verfügen über 30 Jahre Know-how und konnten so bereits einer Vielzahl an Menschen zu einem strahlenden Lächeln verhelfen!
Moderne Qualität
Wie bei all unseren Behandlungen setzen wir auch bei der Therapie mit implantatgetragenem Zahnersatz auf hohe Qualität auf modernem Stand.
Für alle Erwachsenen
Wir erzielen bei „jungen“ Erwachsenen bis hin zu Pensionisten schöne Ergebnisse mittels Zahnimplantaten.
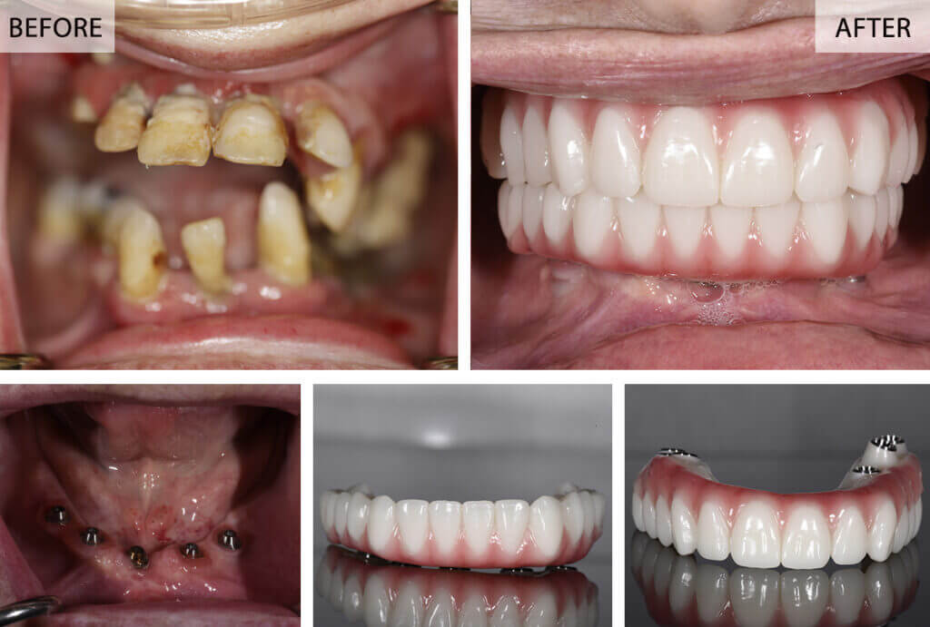
Alle Lücken
Egal, ob Sie nur einen Zahn ersetzt bekommen wollen oder komplett unbezahnt sind – wir erzielen Ihr Wunsch-Ergebnis.
Schnelle Ergebnisse
Da wir über weitreichendes Know-how auf diesem Gebiet verfügen, dauert eine Implantatversorgung bei uns im Durchschnitt nur wenige Wochen.
3D-Ausblick
Mit unserer 3D-Röntgen-Technik sehen Sie Ihr Ergebnis schon vorab! So wissen Sie immer, worauf Sie hinarbeiten.
Profis am Werk
In der Zahnarztpraxis Dr. Kaiser im Burgenland werden Sie ausschließlich von erfahrenen Zahnärzten betreut.
Transparente Kosten
Bei uns gibt es keine versteckten Kosten! Je nach Behandlungsbedarf erfahren Sie Ihren Pauschalpreis.
Einfache Finanzierung
Zur Finanzierung Ihrer Zahnimplantate bieten wir Ihnen eine leistbare Ratenzahlung.
Zufriedenheitsgarantie
Wir sind erst zufrieden, wenn Sie es auch sind! Daher behandeln wir Sie ohne zusätzliche Kosten so lange weiter, bis Sie Ihr Wunsch-Ergebnis erreicht haben!
