Warum eine CEREC-Behandlung bei Dr. Kaiser & Kollegen die richtige Entscheidung ist?
Langjährige Erfahrung
Wir verfügen über 30 Jahre Know-how und konnten so bereits einer Vielzahl Menschen zu einem strahlenden Lächeln verhelfen!
Moderne Qualität
Wie bei all unseren Behandlungen setzen wir auch bei der Therapie mit CEREC auf hohe Qualität bei modernem Standard.
Für alle Altersgruppen
Wir erzielen bei „jungen“ Erwachsenen bis hin zu Pensionisten individuell schöne Ergebnisse.
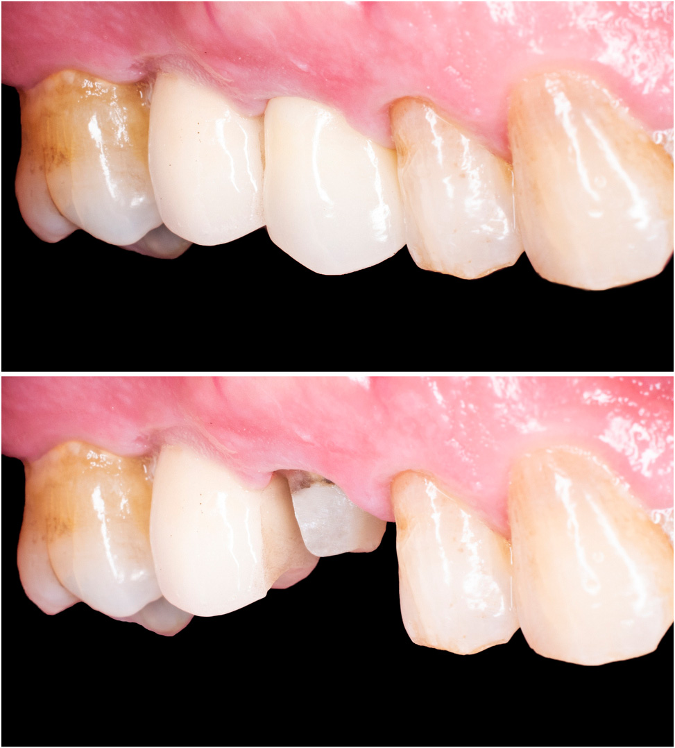
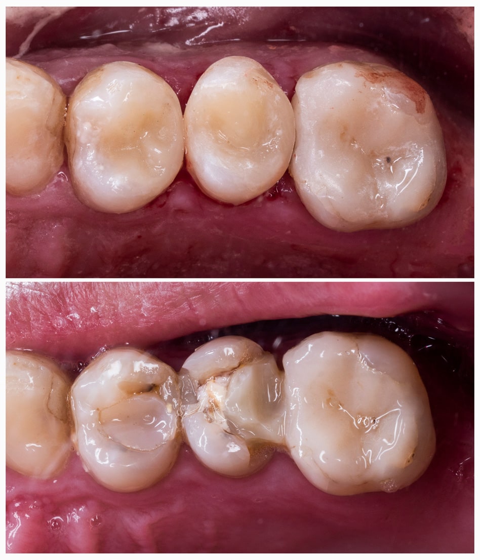
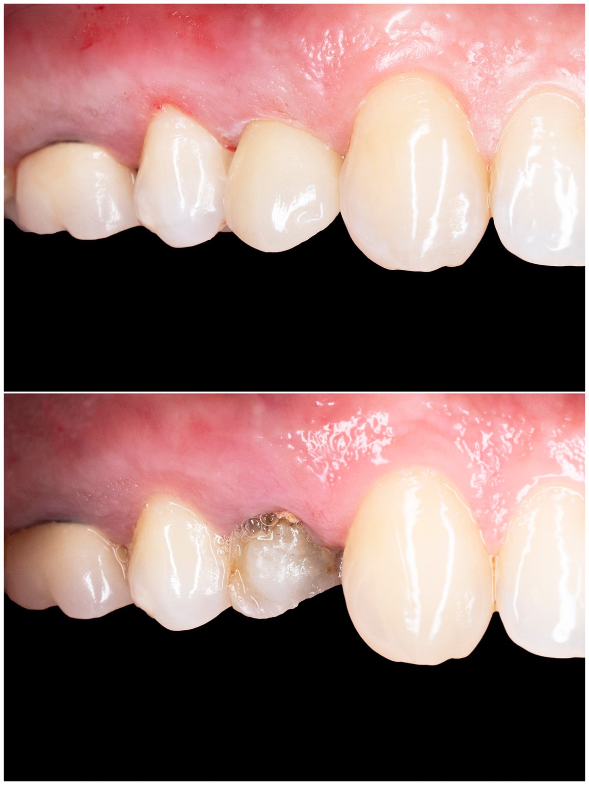
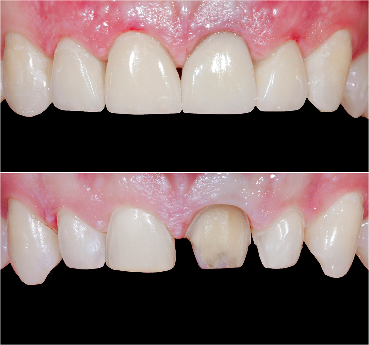
Alle Situationen
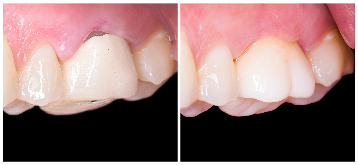
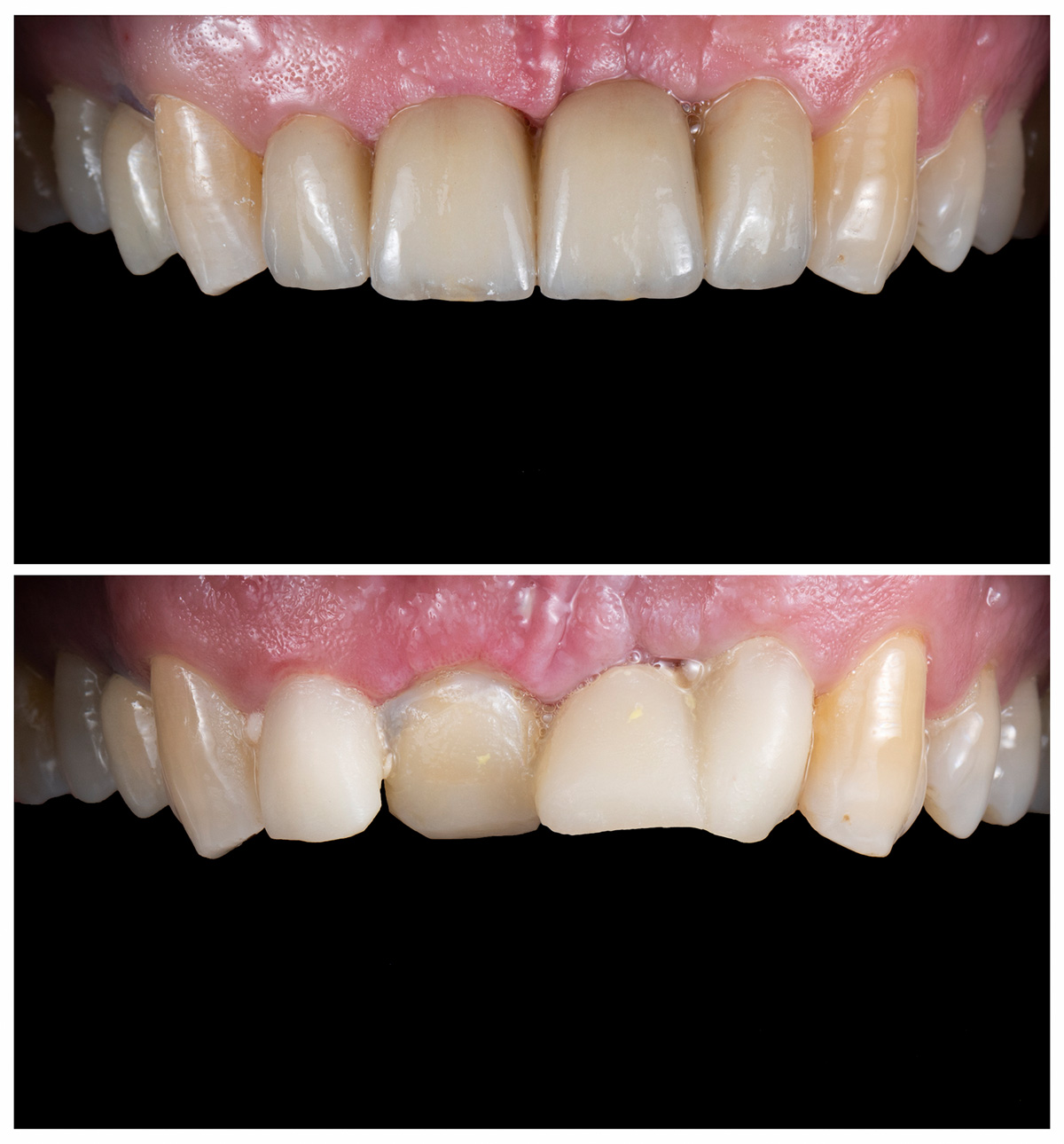
Egal, ob Sie ein hochästhetisches Inlay, Krone oder Brücke brauchen – wir erzielen Ihr Wunsch-Ergebnis.
Schnelle Ergebnisse
Da wir über weitreichendes Know-how auf diesem Gebiet verfügen, ist eine entsprechende Behandlung bei uns minimalinvasiv und im Durchschnitt nur von kurzer Dauer.
3D-Ausblick
Mit unserer 3D-Simulation sehen Sie Ihr Ergebnis schon vorab! So wissen Sie immer, worauf Sie hinarbeiten.
Profis am Werk
In der Zahnarztpraxis Dr. Kaiser werden Sie ausschließlich von erfahrenen Zahnärzten betreut.
Transparente Kosten
Bei uns gibt es keine versteckten Kosten! Je nach Behandlungsbedarf erfahren Sie Ihren Pauschalpreis.
Einfache Finanzierung
Zur Finanzierung Ihres Behandlungswunsches bieten wir Ihnen eine leistbare Ratenzahlung.
Zufriedenheitsgarantie
Wir sind erst zufrieden, wenn Sie es auch sind! Daher behandeln wir Sie ohne zusätzliche Kosten so lange weiter, bis Sie Ihr Wunsch-Ergebnis erreicht haben!
