Inhalt
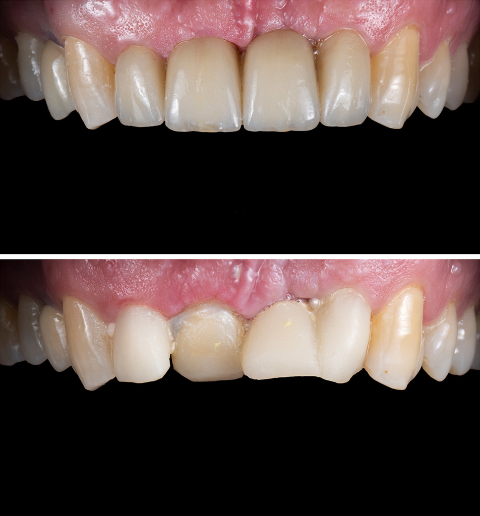
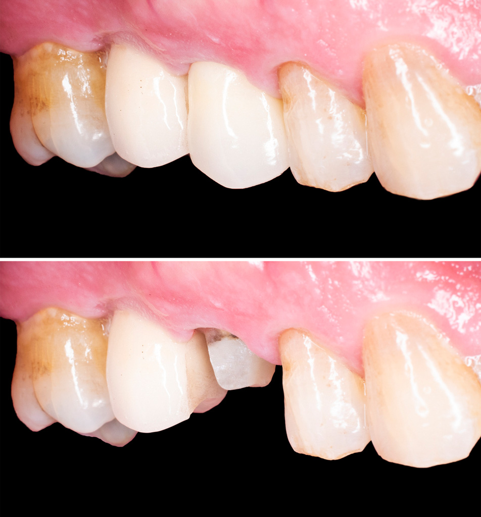
Erfolgreich behandelte Patientenfälle (Klinische Fotos)


Unser Praxis-Blog
-
Braucht man wirklich jedes Jahr ein Röntgenbild beim Zahnarzt?
Röntgen beim Zahnarzt: Nicht jedes Jahr nötig! Wir erstellen OPG alle 2 Jahre & Bissflügel alle 6 Monate – für sichere Diagnosen bei minimaler Strahlung. -
Betriebsausflug 2025 – Gemeinsam unterwegs im Hotel Hochschober
Unser Betriebsausflug 2025 ins Hotel Hochschober: Natur, Entspannung & Genuss in den Nockbergen – drei Tage voller Teamgeist, Erholung und unvergesslicher Momente. -
Zahnputz-Tipps für Kinder im Sommer – Spielerisch motivieren, auch in den Ferien
Auch in den Ferien wichtig: Zähneputzen! Mit Musik, Apps & gemeinsamen Ritualen bleibt Zahnpflege für Kinder spielerisch und macht sogar Spaß. -
Kiefergelenksprobleme - Wenn Zähneknirschen Kopf- und Nackenschmerzen verursacht
Zähneknirschen belastet Zähne und Kiefer. Wir behandeln Kiefergelenksprobleme ganzheitlich – für weniger Kopf- und Nackenschmerzen und mehr Lebensqualität. -
Zahnimplantate bei Senioren – lohnt sich das noch?
Zahnimplantate lohnen sich auch im Alter: mehr Lebensqualität, Sicherheit beim Kauen & Lachen, Schutz der Zähne. Es ist nie zu spät für ein stabiles Lächeln! -
Metall oder Keramik? Was Sie bei Zahnkronen wissen sollten
Metall oder Keramik? Beides schützt den Zahn, entscheidend sind Position, Ästhetik, Verträglichkeit & Budget. Wir beraten Sie individuell & persönlich.
Unser Praxis-Blog
-
Braucht man wirklich jedes Jahr ein Röntgenbild beim Zahnarzt?
Röntgen beim Zahnarzt: Nicht jedes Jahr nötig! Wir erstellen OPG alle 2 Jahre & Bissflügel alle 6 Monate – für sichere Diagnosen bei minimaler Strahlung. -
Betriebsausflug 2025 – Gemeinsam unterwegs im Hotel Hochschober
Unser Betriebsausflug 2025 ins Hotel Hochschober: Natur, Entspannung & Genuss in den Nockbergen – drei Tage voller Teamgeist, Erholung und unvergesslicher Momente. -
Zahnputz-Tipps für Kinder im Sommer – Spielerisch motivieren, auch in den Ferien
Auch in den Ferien wichtig: Zähneputzen! Mit Musik, Apps & gemeinsamen Ritualen bleibt Zahnpflege für Kinder spielerisch und macht sogar Spaß.