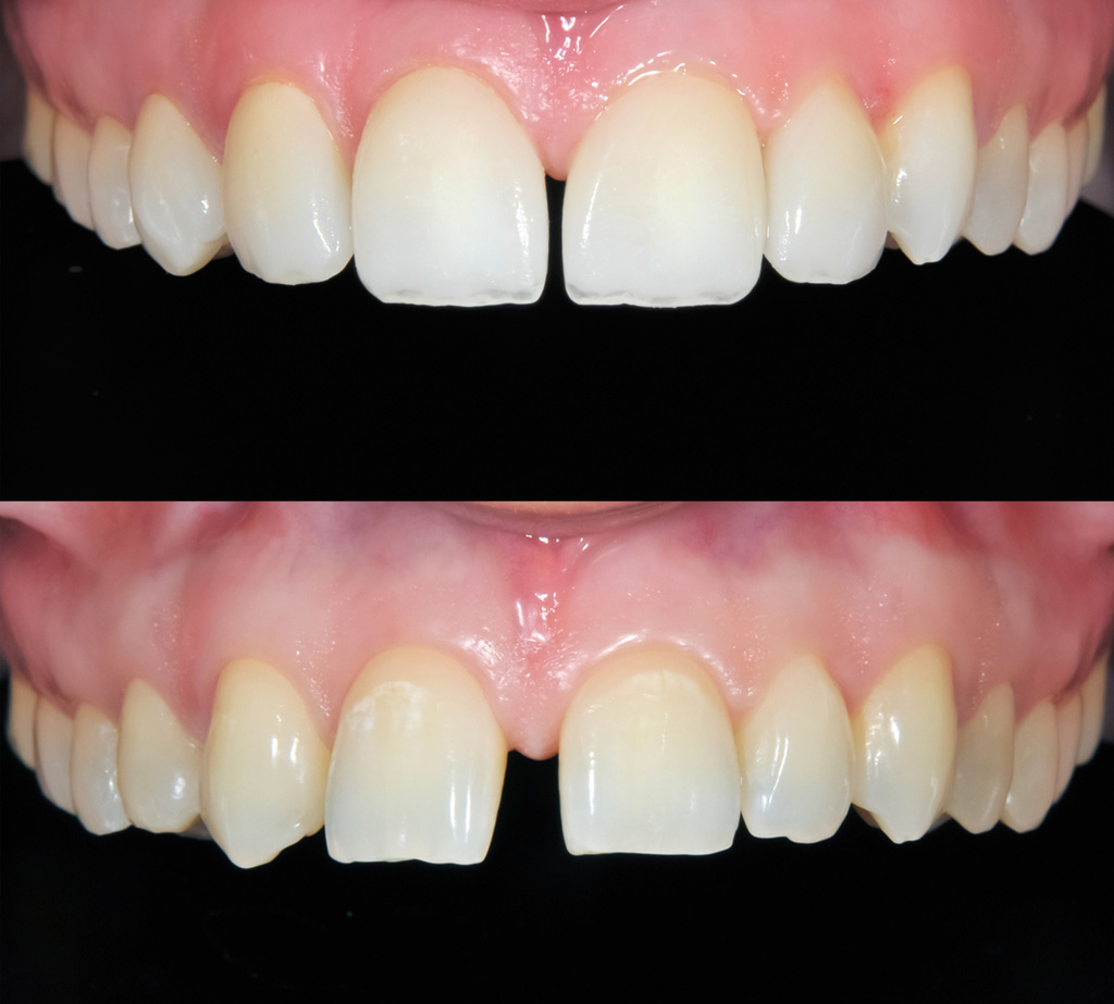
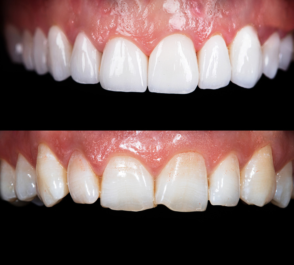
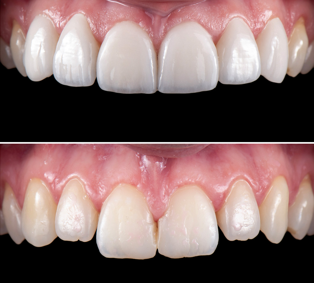
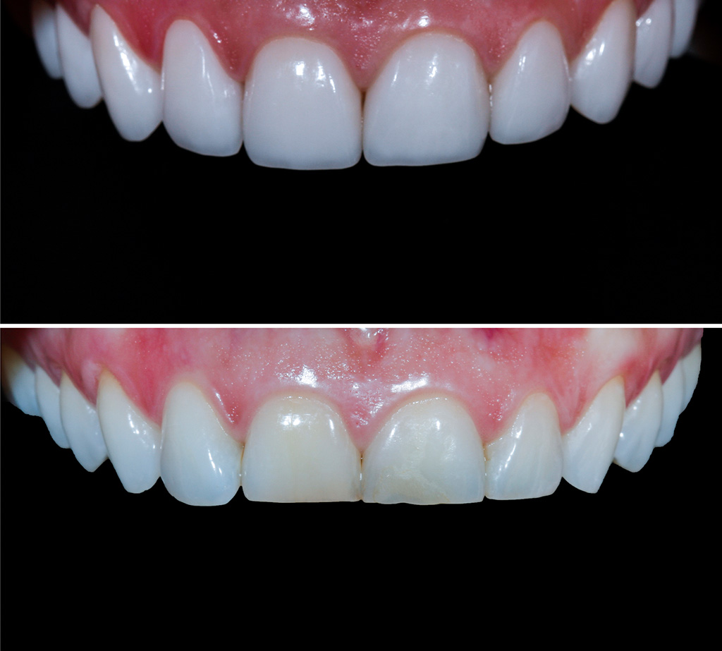
Maßgeschneiderte Veneers für ein makelloses Lächeln
Einer der großen Vorteile von Veneers ist, dass der Zahn meist nicht komplett beschliffen werden muss. Selbst bei kleineren Defekten oder Unregelmäßigkeiten kann das natürliche Zahnbild mit Veneers wiederhergestellt werden. Der Befestigungszement wird in der gleichen Farbe wie der Zahn ausgewählt, sodass das Ergebnis besonders natürlich wirkt.
In unserer Spezialpraxis für Zahnästhetik in Draßburg sind wir auf ästhetische Korrekturen mittels Veneers, Laminates und Lumineers spezialisiert. Wir beraten Sie gerne und freuen uns, Ihnen ein strahlendes Lächeln und damit auch ein großes Stück Lebensqualität zu ermöglichen.
