
21. Mai 2025 von Dr. Philipp Kaiser, MMSc LLM
Nach einer erfolgreichen kieferorthopädischen Behandlung – ob mit einer festen Zahnspange oder durch transparente Aligner – freuen sich viele Patient:innen über ihr neues, schönes Lächeln. Doch damit das Ergebnis langfristig erhalten bleibt, ist ein sogenannter Retainer unerlässlich. Ohne diesen letzten Schritt kann sich das Behandlungsergebnis schnell wieder verändern.
Was ist ein Retainer?
Ein Retainer ist ein Gerät, das nach der aktiven Zahnbewegungsphase eingesetzt wird, um die Zähne in ihrer neuen Position zu halten. Diese Phase der Stabilisierung ist entscheidend, da der Zahnhalteapparat Zeit benötigt, um sich an die neue Zahnstellung anzupassen. Es gibt zwei Hauptarten von Retainern:
-
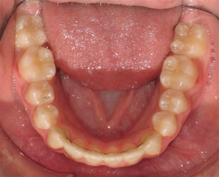
Festsitzender Retainer: Ein dünner, individuell angepasster Draht, der dauerhaft an der Innenseite der Frontzähne – meist im Unterkiefer – befestigt wird. Er ist von außen nicht sichtbar und besonders geeignet für die langfristige Stabilisierung der Zähne. Der Vorteil: Er wirkt rund um die Uhr, ohne dass Patient:innen daran denken müssen.
-
Herausnehmbarer Retainer: Eine transparente Kunststoffschiene, die optisch an Aligner erinnert und vor allem nachts getragen wird. Diese Variante erfordert Disziplin und Konsequenz beim täglichen Tragen, bietet dafür aber Flexibilität – zum Beispiel beim Essen oder Zähneputzen.
Warum sind Retainer so wichtig?
Zähne besitzen ein sogenanntes Rückstellgedächtnis. Das bedeutet, dass sie – besonders in den ersten Monaten nach der kieferorthopädischen Behandlung – dazu neigen, in ihre ursprüngliche Position zurückzuwandern. Dieser natürliche Prozess wird als „Rezidiv“ bezeichnet. Ein Retainer wirkt dem entgegen, indem er die Zähne stabilisiert und ihnen hilft, sich dauerhaft an die neue Position zu gewöhnen. Ohne Retention ist das Risiko sehr hoch, dass sich das schöne Behandlungsergebnis mit der Zeit zurückbildet.
Wie lange muss man einen Retainer tragen?
Die Tragedauer eines Retainers ist individuell verschieden und hängt unter anderem vom Alter, der ursprünglichen Zahnfehlstellung und dem verwendeten Retainertyp ab. Grundsätzlich gilt: je länger, desto besser. Viele Kieferorthopäd:innen empfehlen, den festsitzenden Retainer über viele Jahre – mitunter sogar lebenslang – im Mund zu belassen. Herausnehmbare Retainer sollten zumindest in den ersten Jahren jede Nacht getragen werden. In manchen Fällen ist auch ein dauerhafter nächtlicher Einsatz sinnvoll.
Pflege und Kontrolle
Ein festsitzender Retainer benötigt eine besonders gründliche Mundhygiene, um Karies und Zahnsteinbildung vorzubeugen. Hier sind Zahnseide oder spezielle Interdentalbürsten hilfreich. Auch der herausnehmbare Retainer sollte regelmäßig gereinigt und kontrolliert werden. Zudem ist es wichtig, den Retainer regelmäßig beim Zahnarzt oder Kieferorthopäden überprüfen zu lassen – so kann sichergestellt werden, dass er seine Funktion weiterhin erfüllt.
Fazit:
Ein Retainer ist der Schlüssel zur dauerhaften Freude am neuen Lächeln. Er schützt nicht nur das ästhetische Ergebnis, sondern auch die medizinische Funktion der Zahnstellung. Wer sich die Mühe einer langen kieferorthopädischen Behandlung gemacht hat, sollte diesen letzten Schritt unbedingt ernst nehmen – für ein nachhaltiges, stabiles Ergebnis.