Inhalt
Sinuslift: Vom Knochenverlust zum Knochenaufbau
Wenn Zähne verloren gehen, kann es auf Grund der fehlenden Belastung durch Zug- und Kaubewegungen zu einem Kieferknochenrückgang bzw. Knochenschwund kommen. Dabei wird der Knochen mit der Zeit immer dünner und flacher. Das Setzen eines Implantats ist auf Grund des fehlenden Knochenangebots oft nicht mehr möglich. Ein stabiler Zahnersatz auf Implantatbasis wird erst durch eine Sinuslift-Behandlung möglich. Der Sinuslift ist ein spezielles Verfahren, um Kieferknochen im Oberkiefer wieder aufzubauen und so die Voraussetzungen für festsitzende Implantate zu schaffen.
Knochenaufbau sorgt für einen festen Halt von Implantaten
Wir sind eine Spezialpraxis für Implantologie und bieten unseren Patienten die Sinuslift-Methode zum Knochenaufbau an. Die Spezialisten für Oralchirurgie und Implantologie in der Zahnarztpraxis Dr. Kaiser sorgen dafür, dass nach gründlicher Diagnostik und Feststellung des vorhandenen Knochenangebotes der Kieferknochen mittels Sinuslift-Methode wieder aufgebaut wird. Bei einem Sinuslift-Eingriff wird ein Knochenersatzmaterial zwischen Kieferhöhlenboden und Schleimhaut eingebracht, in Folge vom Körper in festes Knochenmaterial umgewandelt und damit die Voraussetzung für einen dauerhaften Zahnersatz durch Implantate geschaffen.
Welche Ursachen für Knochenschwund gibt es?
Für einen Knochenschwund im Kiefer können verschiedene Ursachen in Frage kommen.
- Fehlende Zähne können zu Knochenschwund führen, denn durch die fehlende Kaubelastung baut sich die Knochensubstanz sukzessive ab.
- Durch Parodontitis kann es zu einem fortschreitenden Verlust des stützenden Gewebes und des Knochens kommen.
- Eine weitere Ursache für Knochenschwund kann eine Fehlbelastung der Zähne oder des Kiefers sein, beispielsweise verursacht durch eine Schiefstellung der Zähne oder schlechtsitzende Zahnprothesen.
- Zu möglichen Ursachen für Knochenschwund zählen auch schlechte Ernährung, Rauchen, hoher Alkoholkonsum oder bestimmte Medikamente.
Wann ist ein Knochenaufbau vor einer Implantation notwendig?
Zwischen der Mundhöhle und der Kieferhöhle befindet sich eine Knochenschicht, in der sich große Teile der Zahnwurzeln der oberen Backenzähne befinden. Durch Kau- und Mahlbewegungen entstehen Zug und Druckbelastungen, die diese Knochenschicht erhalten. Kommt es zu einem Zahnverlust, fehlen diese Belastungen und die Knochenschicht bildet sich zurück. Das Setzen eines Implantats ist auf Grund des fehlenden Knochenangebots oft nicht mehr möglich. Mittels Sinuslift kann die fehlende Knochenmasse wieder aufgebaut und so die Voraussetzung für ein festsitzendes Implantat geschaffen werden. Im Rahmen einer Knochendichtemessung in unserer Praxis wird festgestellt, wie groß das Knochenangebot ist und wie viel Knochenersatzmaterial eingebracht werden muss, um einen Zahnersatz auf Implantatbasis zu ermöglichen.
Was ist ein Sinuslift?
Ein Sinuslift ist eine Methode, um fehlende Knochenmasse zur Vorbereitung auf ein Implantat wieder aufzubauen. Der Begriff „Sinuslift“ setzt sich aus den Wörtern Sinus maxillaris, lateinisch für Kieferhöhle, und lift, englisch für anheben, zusammen. Bei einer Sinuslift-OP wird eine Unterfütterung der Kieferhöhlenschleimhaut mit einem Knochenersatzmittel durchgeführt. So wird die Knochenmasse zwischen Mundhöhle und Kieferhöhle verstärkt und die Voraussetzung für ein Implantat geschaffen. Ist das Knochenersatzmittel eingewachsen, steht in Folge ausreichend Knochensubstanz zur Verfügung, um ein Implantat zu setzen, das fest im Knochen verwachsen kann.
Welche Methoden der Sinuslift-Operationen gibt es?
Es gibt verschiedene Methoden für einen Knochenaufbau durch eine Sinuslift-Operation. Abhängig von der Menge des noch vorhandenen Knochenmaterials kommt ein interner Sinuslift, ein externer Sinuslift oder das Ballonverfahren in Frage. Der behandelnde Kieferchirurg in unserer Praxis stellt vor einer Sinuslift-Operation das noch vorhandene Knochenangebot fest und bespricht mit unserem Patienten die möglichen Methoden.
Der interne Sinuslift
Der interne Sinuslift, auch geschlossener oder minimalinvasiver Sinuslift genannt, kommt zum Einsatz, wenn noch ausreichend Knochensubstanz vorhanden ist und nur ein kleiner Aufbau des Sinusbodens notwendig ist. Die Kieferchirurg führt an der Stelle des Zahnverlustes eine kleine Bohrung am Kiefer bis zum Übergang zur Kieferhöhle durch. Im zweiten Schritt wird eine Anhebung des Kieferhöhlenbodens durchgeführt. Im dritten Schritt wird der geschaffene Hohlraum zwischen Knochen und Schleimhaut mit Knochenleitmaterial aufgefüllt. Implantate können im Rahmen dieses Verfahrens in vielen Fällen sofort gesetzt werden.
Der externe Sinuslift
Der sogenannte externe Sinuslift wird angewendet, wenn größere Defekte an der Knochensubstanz vorliegen und korrigiert werden müssen. Der Kieferchirurg führt eine kleine Öffnung zur Kieferhöhle durch. Über diese Öffnung wird die Kieferhöhlenschleimhaut angehoben und so der benötigte Hohlraum für das Knochenaufbaumaterial geschaffen. Anschließend wird das Knochenaufbaumaterial eingebracht und die Öffnung verschlossen. Daran anschließend erfolgt die Einheilung und Umwandlung des Knochenaufbaumaterials zu eigenem Knochengewebe. Die Implantatsetzung erfolgt nach der Heilungsphase.
Das Ballonverfahren
Bei dieser minimalinvasiven Operationsmethode wird ähnlich wie beim internen Sinuslift eine kleine Bohrung durchgeführt. Beim sogenannten Ballonverfahren wird ein flüssigkeitsgefüllter Ballonkatheter verwendet, um eine präzise Bestimmung des Knochenaufbaus durchzuführen und die Kieferhöhlenschleimhaut zu erhöhen. In den geschaffenen Hohlraum wird ein Knochenersatzmaterial eingebracht und die Öffnung verschlossen. Danach erfolgt die Einheilung und Umwandlung des Knochenaufbaumaterials zu eigenem Knochengewebe. Das Implantat wird nach der Heilungsphase gesetzt.
Wie sehen die drei Schritte des Behandlungsablaufs aus?
Erster Schritt
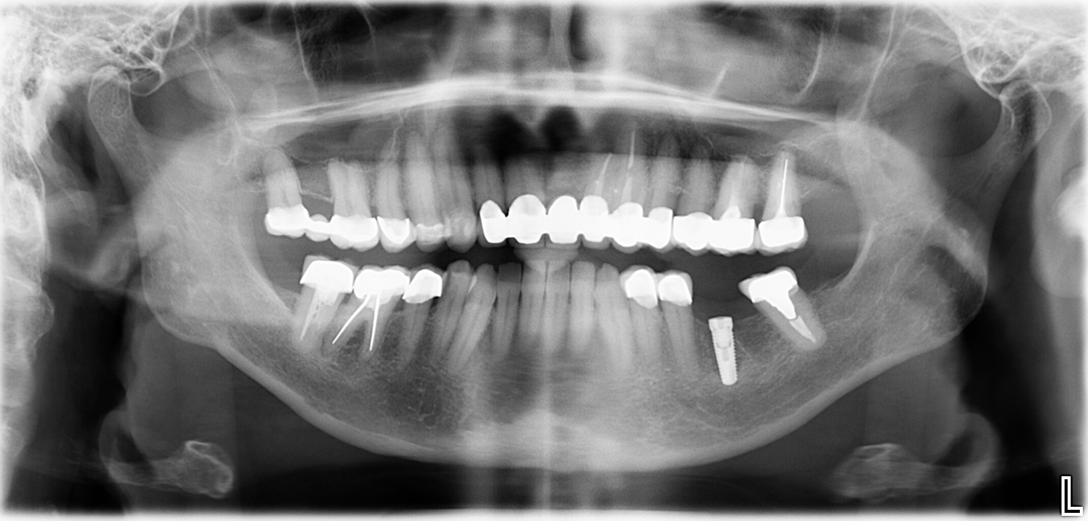
Der Behandlungsablauf startet mit einer eingehenden Diagnostik, das heißt, die Spezialisten für Oralchirurgie und Implantologie in der Zahnarztpraxis Dr. Kaiser & Kollegen beurteilen mittels Röntgendiagnostik und digitaler Volumentomografie den Zustand des Kieferknochens. Dank dreidimensionaler Bildgebung kann festgestellt werden, wo ein Sinuslift notwendig ist.
Zweiter Schritt
Ist die bildgebende Diagnostik abgeschlossen, kann der behandelnde Zahnarzt beurteilen, wie viel Knochenangebot vorhanden ist und wie viel Knochenersatzmaterial notwendig ist, um einen sicheren Halt des geplanten Implantats zu erreichen. Davon abhängig wird entweder der interne Sinuslift, der externe Sinuslift oder das Ballonverfahren als Operationsvariante festgelegt.
Dritter Schritt
Die Sinuslift-Behandlung wird terminlich vereinbart. Vor einem Sinuslift-Eingriff werden unsere Patienten von unseren Zahnärzten rundum informiert.
Welche Materialien stehen für einen Knochenaufbau mittels Sinuslift zur Verfügung?
In der Implantologie stehen verschiedene Materialien für einen Knochenaufbau zur Verfügung. Sie werden durch unterschiedliche Verfahren gewonnen. Im Rahmen der Planung des Sinuslift-Eingriffs bespricht der behandelnde Kieferchirurg mit unserem Patienten die Möglichkeiten eines eigenen, synthetischen oder tierischen Knochenersatzmaterials. Folgende Materialien kommen heute bei einem Sinuslift zur Anwendung:
- eigenes Knochenmaterial des Patienten, auch autogenes oder biologisches Knochenmaterial genannt
- Knochenmaterial eines anderen Individuums, sogenanntes allogenes Knochenersatzmaterial
- synthetisches Knochenmaterial nicht-biologischer Natur, auch alloplastisches Knochenersatzmaterial
- aufbereitetes Knochenmaterial eines artfremden Individuums, beispielsweise eines Rindes, auch xenogenes Knochenmaterial genannt
Was genau ist ein biologischer Knochenaufbau?
Ein biologischer Knochenaufbau bedeutet, dass eigenes Knochenmaterial des Patienten verwendet wird. Bei dieser Methode wird eigenes Knochenmaterial an anderer Kieferstelle entnommen und für die geplante Sinuslift-Operation verwendet.
Ist ein Knochenaufbau mittels Sinuslift schmerzhaft?
Eine Sinuslift-Operation erfolgt unter örtlicher Betäubung und ist nicht schmerzhaft für unseren Patienten. Nach dem Eingriff kann es in manchen Fällen zu leichten Schwellungen oder kleinen blauen Flecken an der Wange kommen, die aber nach wenigen Tagen wieder abschwellen bzw. verheilen.
Wie lange dauert es von der Sinuslift-OP zur Implantation?
Nach einer internen Sinuslift-OP, bei der nur geringe Knochenmasse aufgebaut werden muss, können Implantate in vielen Fällen direkt auf den frischen Sinuslift gesetzt werden. Muss mehr Knochenmasse wieder aufgebaut werden, braucht der Körper Zeit, um das Ersatzmaterial in eigene Knochen umzubauen. Nach einer Sinuslift-Operation, bei der größere Defekte des Knochens behandelt werden, dauert der Heilungsprozess zwischen drei und sechs Monaten. Daran anschließend kann das geplante Implantat gesetzt werden.
Ihre Spezialisten für Sinuslift in der Zahnarztpraxis Dr. Kaiser im Burgenland
Sie haben Fragen zur Sinuslift-Operation? Wir sind eine Spezialpraxis für Implantologie. Unsere Zahnärzte haben sich auf die Sinuslift-Methoden zum Aufbau von Knochenmasse für einen festen Sitz von Implantaten spezialisiert. Sprechen Sie bei Ihrem nächsten Behandlungstermin alles an, was Sie über diese Methode des Knochenaufbaus erfahren möchten. Vor einem Sinuslift-Eingriff werden Sie von unseren Zahnärzten rundum informiert und können dem geplanten OP-Termin entspannt entgegensehen. Vertrauen Sie auf die Erfahrung und die Expertise unserer spezialisierten Zahnärzte in der Zahnarztpraxis Dr. Kaiser.
Sie möchten mehr über die Sinuslift-Methoden erfahren?
Rufen Sie uns einfach an und vereinbaren Sie einen Beratungstermin in unserer Praxis. Wir informieren Sie gerne über die Möglichkeiten, Implantate mit vorausgehender Sinuslift-Behandlung zu verwirklichen. Wir freuen uns auf Ihren Besuch!
Sie haben weitere Fragen?
Ihre Frage wurde noch nicht beantwortet? Wir helfen Ihnen gerne persönlich weiter! Rufen Sie uns einfach an oder mit Ihrer Frage. Gerne begrüßen wir Sie in unserer Spezialpraxis für Implantologie in Draßburg (gelegen zwischen Mattersburg und Eisenstadt im Burgenland) zu einem persönlichen Beratungsgespräch.
Warum ein Sinuslift bei Dr. Kaiser & Kollegen die richtige Entscheidung ist?
Langjährige Erfahrung
Wir verfügen über 30 Jahre Know-how und konnten so bereits einer Vielzahl an Menschen zu einem strahlenden Lächeln verhelfen!
Moderne Qualität
Wie bei all unseren Behandlungen setzen wir auch bei der Therapie mit Knochenaufbauten auf hohe Qualität auf modernem Stand.
Für alle Erwachsenen
Wir erzielen bei „jungen“ Erwachsenen bis hin zu Pensionisten stabile Ergebnisse mittels Knochenaugmentationen.
Alle Zahnfleischerkrankungen
Egal, ob wenig oder viel Knochen fehlt – wir erzielen ein gesundes Wunsch-Ergebnis.
Schnelle Ergebnisse
Da wir über weitreichendes Know-how auf diesem Gebiet verfügen, besteht eine Sinuslift-Behandlung bei uns im Durchschnitt nur aus wenigen Terminen.
3D-Ausblick
Mit unserer 3D-Röntgen-Technik sehen Sie Ihr Ergebnis schon vorab! So wissen Sie immer, worauf Sie hinarbeiten.
Profis am Werk
In der Zahnarztpraxis Dr. Kaiser im Burgenland werden Sie ausschließlich von erfahrenen Zahnärzten betreut.
Transparente Kosten
Bei uns gibt es keine versteckten Kosten! Je nach Behandlungsbedarf erfahren Sie Ihren Pauschalpreis.
Einfache Finanzierung
Zur Finanzierung Ihres Knochenaufbaus bieten wir Ihnen eine leistbare Ratenzahlung.
Zufriedenheitsgarantie
Wir sind erst zufrieden, wenn Sie es auch sind! Daher behandeln wir Sie ohne zusätzliche Kosten so lange weiter, bis Sie Ihr Wunsch-Ergebnis erreicht haben!
Unser Praxis-Blog
-
Ist Bleaching schädlich für die Zähne?
Professionelles Bleaching ist bei gesunden Zähnen in der Regel nicht schädlich. Unter zahnärztlicher Kontrolle wird der Zahnschmelz geschont und die Zähne schonend aufgehellt. -
Welche Materialien gibt es und welches ist das richtige für Sie?
Moderner Zahnersatz bietet natürliche Optik, Stabilität und Komfort. Wir beraten Sie individuell zu Kronen, Brücken und Prothesen und finden die passende Lösung für Ihre Bedürfnisse. -
Wann ein Zahn noch erhalten werden kann und wann nicht
Ein natürlicher Zahn wird möglichst erhalten. Ist er jedoch stark zerstört, locker oder entzündet, kann eine Entfernung sinnvoll sein. Moderne Lösungen wie Implantate schließen die Lücke ästhetisch. -
Warum wir bei großen Füllungen oft zu einer Krone raten
Warum wir bei großen Füllungen oft zu einer Krone raten: Bei stark geschädigten Zähnen schützt sie vor Bruch, stabilisiert langfristig und erhält die Funktion – für dauerhaften Zahnerhalt. -
Wann sind Aligner nicht geeignet?
Aligner sind ideal bei leichten bis mittleren Zahnfehlstellungen. Bei starken Fehlstellungen, komplexen Bissproblemen oder mangelnder Tragezeit kann eine feste Zahnspange die bessere Lösung sein. -
Nachhaltige Zahnmedizin – weniger Material, weniger Transport, weniger Aufwand?
Digitale Zahnmedizin spart Material, Transporte und Termine. Intraoralscan statt Abdruck, Fertigung direkt in der Praxis – präzise, effizient und ressourcenschonend für Umwelt und Patient.
Unser Praxis-Blog
-
Ist Bleaching schädlich für die Zähne?
Professionelles Bleaching ist bei gesunden Zähnen in der Regel nicht schädlich. Unter zahnärztlicher Kontrolle wird der Zahnschmelz geschont und die Zähne schonend aufgehellt. -
Welche Materialien gibt es und welches ist das richtige für Sie?
Moderner Zahnersatz bietet natürliche Optik, Stabilität und Komfort. Wir beraten Sie individuell zu Kronen, Brücken und Prothesen und finden die passende Lösung für Ihre Bedürfnisse. -
Wann ein Zahn noch erhalten werden kann und wann nicht
Ein natürlicher Zahn wird möglichst erhalten. Ist er jedoch stark zerstört, locker oder entzündet, kann eine Entfernung sinnvoll sein. Moderne Lösungen wie Implantate schließen die Lücke ästhetisch.
